







The most natural and permanent way to replace missing teeth
A dental implant is a permanent tooth replacement that looks, feels, and functions like a natural tooth. It includes a titanium post that replaces the root, an abutment that connects the crown, and a custom-made ceramic crown. Together, they restore your ability to chew, speak, and smile with full confidence.
Placed into the jawbone and fuses with bone for strong support.
Connects the implant post to the crown securely.
Custom-designed to match your natural teeth seamlessly.
Feels like a natural tooth
Permanent and non-removable
Eat any food comfortably
Prevents jawbone loss
Protects nearby teeth
Easy cleaning and maintenance
Long-lasting and durable
Dental implants are the gold standard for tooth replacement, offering unmatched strength, comfort, and longevity.
Permanent, natural & strong tooth replacement
Whether you're missing one tooth or several, dental implants help rebuild your smile with stability, function, and confidence.
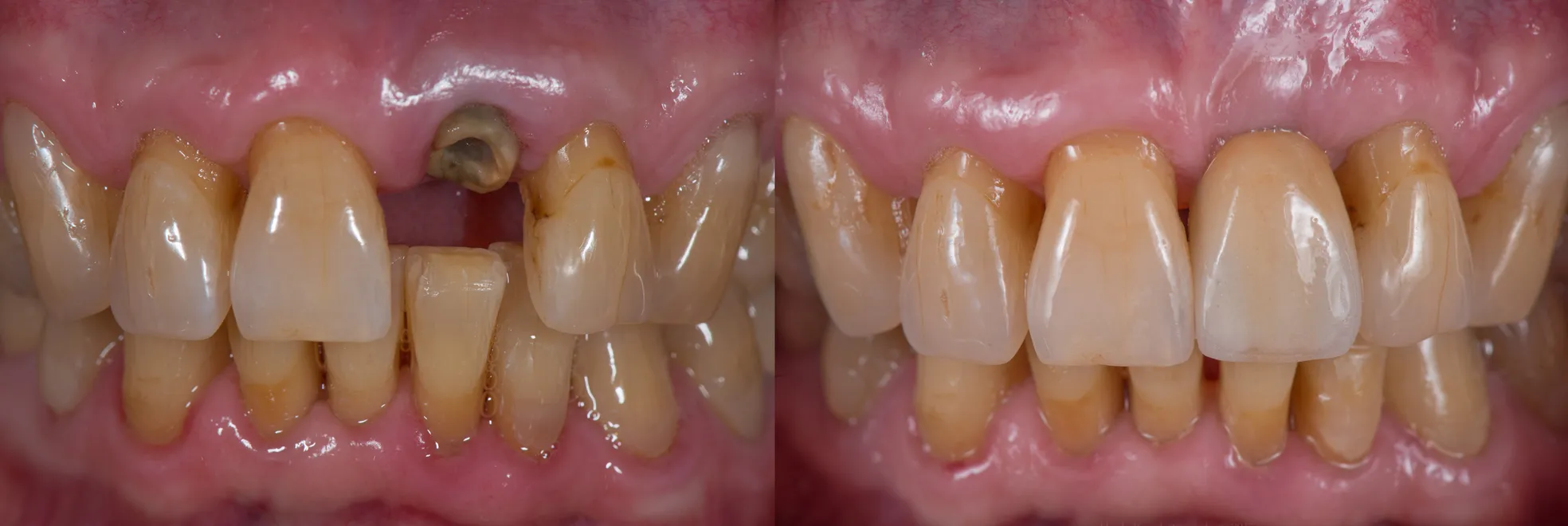
Ideal when you are missing one tooth in a single area.
✔ Looks and functions like your natural tooth
✔ No drilling or shaving of healthy neighboring teeth
✔ Restores full chewing strength on that side
✔ Helps prevent bone loss and shifting teeth
✔ Long-lasting solution with proper care
A single implant includes a titanium root, a custom connector, and a lifelike crown that blends smoothly with your smile.
Designed for gaps with two or more missing teeth in a row.
✔ Supports several teeth using fewer implants
✔ Fixed in place, no removable parts
✔ Stronger and more stable than traditional bridges
✔ Preserves jawbone and facial structure
✔ Restores natural biting, speaking, and confidence
Implant bridges are an excellent alternative to removable partials or traditional bridges that rely on neighboring teeth.
✔ Permanent, non-removable solution for missing teeth
✔ Natural look, feel, and function
✔ Eat comfortably, including steak, salads, and crunchy foods
✔ No clasps, adhesives, or slipping like dentures
✔ Protects the bone and helps prevent future tooth movement
✔ Designed to last many years with proper home care and cleanings
For many patients, implants are the most confident way to replace missing teeth and enjoy a stable, long-term smile.
Fast, fixed and natural looking full-arch smile restoration
All on 4 and All on X treatments replace an entire upper or lower arch with secure, fixed teeth supported by dental implants.
A fixed full-arch bridge supported by four strategically placed dental implants.
✔ New fixed teeth placed the same day in most cases
✔ Non-removable full arch with no slipping or clicking
✔ Uses four implants per arch for strong support
✔ Often an option even when back areas have bone loss
✔ Helps patients move out of dentures into fixed teeth
All on 4 is ideal when you want to replace a full upper or lower arch with stable, natural-looking teeth on a streamlined number of implants.
A customized full-arch or full-mouth solution using four or more implants.
✔ Number of implants tailored to your bone and support needs
✔ Extra implants add more stability and longevity
✔ Ideal for complex cases or when more support is preferred
✔ Restores strong chewing and confident speaking
✔ Fixed, screw-retained bridge that does not come out at home
All on X gives your doctor freedom to place additional implants where needed for support, comfort, and long-term success.
✔ Fixed teeth that stay in place and do not move
✔ Strong biting and chewing power for most foods
✔ No more loose dentures, pastes, or adhesives
✔ Helps preserve jawbone and facial shape over time
✔ Smile that looks natural and feels like real teeth
✔ Designed as a long-term solution with proper care and maintenance
Many patients choose All on 4 or All on X when they are ready for a stable, permanent alternative to dentures and want a confident full smile again.
Implant supported dentures that snap securely into place
Snap-in dentures use dental implants for solid support, so your denture feels more secure, more stable, and more natural than a traditional removable plate.
A small number of implants are placed in the jaw, then special attachments allow your denture to snap securely onto those implants.
✔ Implants under the denture provide strong support
✔ Denture snaps onto attachments for a locked in feel
✔ More secure than a traditional removable denture
✔ Often uses four implants per arch for stability
This approach keeps your denture stable while still letting you remove it at home for easy daily cleaning and care.
Snap-in dentures are designed to solve the most common problems patients report with regular dentures.
✔ Less movement when talking and chewing
✔ Little or no denture adhesive needed
✔ Slim design with less plastic across the roof of the mouth
✔ Improved comfort, speech, and confidence in social settings
Many patients who struggle with loose lower dentures find snap-in dentures to be a big improvement in comfort and function.
✔ Secure fit that helps prevent slipping and sore spots
✔ Better chewing ability for many everyday foods
✔ No messy pastes or powders to keep dentures in place
✔ Less acrylic across the palate so food tastes better
✔ Easy to remove and clean at home
✔ More natural look and feel than a traditional denture
For many people, snap-in dentures are a strong middle ground option between a loose traditional denture and a fully fixed set of implant teeth.
Small diameter implants for denture support and single tooth replacement
Mini implants use slim titanium posts to support teeth or dentures when bone is limited or a gentler procedure is preferred.
Mini implants are narrow titanium posts placed in the jaw to support crowns or dentures with less drilling than full-size implants.
✔ Smaller diameter posts than traditional implants
✔ Simpler and gentler placement procedure
✔ Supports a single tooth, a bridge, or a denture
✔ Designed to stabilize teeth with minimal incisions
Mini implants provide secure support while keeping treatment as conservative as possible.
Mini implants are often recommended when bone is limited or when faster healing is preferred.
✔ Lower bone volume where full implants are more complex
✔ Desire to stabilize a loose denture without major grafting
✔ Faster or more streamlined treatment approach
✔ More cost-friendly implant solution
Your doctor will evaluate your bone levels to determine whether mini implants, full implants, or a combination will achieve the best result.
✔ Gentle procedure with reduced discomfort
✔ Many patients return to daily activities quickly
✔ Helps stabilize loose dentures
✔ Better chewing and speaking confidence
✔ Slimmer design while still offering strong support
✔ More affordable than full-sized implants
Mini implants offer stability and comfort with a streamlined procedure designed to be gentle and efficient.
Robotic-guided dental implants for precise, gentle, and predictable treatment
Advanced robotic guidance helps your doctor place implants with high accuracy for safer, smoother procedures and confident long-term results.
✔High Accuracy: The robotic system guides ideal implant position and angle.
✔Digital Planning: A 3D scan maps out your implant placement in advance.
✔Safer Placement: Helps avoid nerves, sinuses, and preserves healthy bone.
✔Great For Complex Cases: Added precision for limited bone or prior dental work.
✔No Gum Cutting: Many implants placed without opening the gums.
✔No Stitches Needed: Most single implants placed stitch-free.
✔Less Swelling: Tissue-friendly approach supports smoother healing.
✔Quick Visit: Many single implants take about 15–20 minutes.
Address:
240 Middletown Blvd., Suite 100
Langhorne, PA 19047
Phone: (215) 750-2222
Hours:
Mon & Wed: 9AM-8PM
Tue & Thurs: 9AM-6PM
Fri & Sat : 9AM-3PM
(alternating Saturdays)
Sunday: Closed


Compassionate, trusted & affordable local dentist providing world-class dentistry in Langhorne, PA.
Compassionate, trusted & affordable local dentist providing world-class dentistry in Langhorne, PA.
240 Middletown Blvd,
Suite 100, Langhorne, PA 19047
(Next to the Oxford Valley Mall & Sesame Place)
(215) 750-2222
Mon & Wed: 9AM-8PM
Tue & Thurs: 9AM-6PM
Fri & Sat : 9AM-3PM
(alternating Saturdays)
Sunday: Closed
240 Middletown Blvd,
Suite 100, Langhorne, PA 19047
(Next to the Oxford Valley Mall & Sesame Place)
(215) 750-2222
Mon & Wed: 9AM-8PM
Tue & Thurs: 9AM-6PM
Fri & Sat : 9AM-3PM
(alternating Saturdays)
Sunday: Closed
© 2025 Alpha Dental Excellence. All rights reserved.
© 2025 Alpha Dental Excellence.
All rights reserved.